목차
1. 혈관조영술이란?
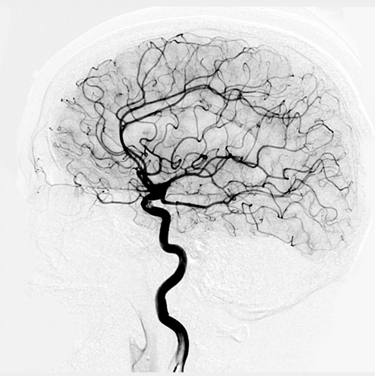
혈관 조영술은 혈관을 검사하기 위해 사용되는 엑스레이의 일종입니다.
일반적인 엑스레이로 사람을 촬영하게 되면 뼈만 보이게 되는데, 이는 뼈의 밀도가 다른 장기들에 비해 높기 때문입니다.
엑스레이는 밀도가 높을수록 잘 투과하지 못하는 성질을 가지고 있기에 비교적 밀도가 낮은 장기와 뇌, 혈관 등은 투과하고 뼈는 밀도가 높아 통과하지 못해 선명하게 볼 수 있는 것입니다.
그렇다면 밀도가 높은 무언가가 돌아다니면 혈관을 엑스레이로도 정밀하게 촬영할 수 있지 않을까 하는 의문에서 시작된 것이 바로 혈관조영술입니다.

2. 혈관조영술이 사용되는 경우
혈관조영술은 혈관의 건강과 혈관을 통해 혈액이 어떻게 흐르는지 확인하기 위해 사용됩니다.
- atherosclerosis : 동맥이 좁아져 뇌졸중이나 심장마비의 위험이 있는 경우
- 말초 동맥 질환 : 다리 근육에 대한 혈액 공급이 감소한 경우
- 뇌동맥류 : 뇌 혈관의 팽대부
- 협심증 : 심장 근육으로의 혈류 감소로 인한 흉통
- 혈전 또는 폐색전증 : 폐에 공급하는 동맥의 막힘
- 신장으로의 혈액 공급 막힘

3. 혈관조영술의 시술 과정
- 알레르기 여부가 있는지를 포함해 환자의 병력을 확인합니다.
- 복용중인 약이 있는지를 확인하며 시술 전 복용을 중지해야하는지 확인합니다.
- 신체검사와 혈애검사를 포함한 전반적인 검사를 하며, 시술 당일 진정제 복용 여부를 결정합니다.
- 이제 시술에 들어가게 됩니다. 보통 국소마취로 진행되지만, 간혹 수면마취로 진행될 수도 있습니다.
- 엑스레이를 촬영할 수 있는 테이블 위에 누워 사타구니 혹은 손목 근처를 절개합니다.
- 절개 부위의 동맥을 통해 카테터를 삽입합니다.
- 카테터를 촬영을 원하는 부위까지 유도한 후, 카테터를 통해 특수한 염료(조영제)를 주입합니다.
- 염료가 혈관을 통과하면서 엑스레이가 촬영됩니다.
- 시술은 30분에서 2시간 가량 진행됩니다.
- 시술이 끝난 이후에는 카테터 삽입을 위한 절개를 치유하도록, 병원에서 몇시간 정도 가만히 누워 휴식을 취합니다. 보통 시술 당일 집에 갈 수 있지만 간혹 병원에서 하루 입원할 수 있습니다.
- 바로 다음날 일상생활을 할 수 있으나, 며칠동안은 무거운 물건을 드는 행위는 피하는 것이 좋습니다.

4. 혈관조영술의 부작용 및 합병증
- 멍이 들 수 있습니다.
- 쓰라릴 수 있습니다.
- 절개 부위에 혹이 생길 수 있습니다.
- 염료에 대한 반응으로 가려울 수 있습니다.
- 일시적으로 신장이 손상될 수 있습니다.
- 심장마비 혹은 뇌졸중이 올 수 있습니다.
- 혈관이 손상되거나 혈관 내부에서 출혈이 있을 수 있습니다.
- 현기증, 호흡곤란 등을 일으키는 염료에 대한 알레르기 반응
다만 위와 같은 증상을 겪을 일은 매우 드뭅니다.
관련글 더보기
2022.09.19 - [의료기기] - [내시경 카메라] 몸 속을 들여다 보다(구조와 종류 및 부작용)
[내시경 카메라] 몸 속을 들여다 보다(구조와 종류 및 부작용)
목차 1. 내시경(endoscopy)검사란? 신체 내부를 관찰하는 기계를 통틀어 내시경이라고 부릅니다. 그리고 그 내시경을 통해서 몸 속을 관찰하는 검사를 내시경 검사라고 합니다. 내시경은 길고 유연
biolog.tistory.com
2022.09.07 - [의료기기] - 심장 초음파(심초음파, Heart Ultrasound/Echocardiogram)
심장 초음파(심초음파, Heart Ultrasound/Echocardiogram)
목차 1. 심장 초음파(Heart Ultrasound) 심장초음파(heart ultrasound/echocardiogram)는 초음파 검사를 해 심장의 이미지를 볼 수 있는 검사입니다. 검사를 통해 확인할 수 있는 사항은 다음과 같습니다. 심장
biolog.tistory.com
'의료기기' 카테고리의 다른 글
| [PET MRI] PET 검사와 MRI 검사를 동시에 (0) | 2022.10.08 |
|---|---|
| [PET 검사] 암을 검출하는 방사선 촬영 (0) | 2022.10.07 |
| [저주파치료] 저주파치료의 종류별 특징 (0) | 2022.10.05 |
| [페이스메이커] 엇박자의 심장 박동을 정박자로 (0) | 2022.10.03 |
| [복막투석] 집에서도 직장에서도 가능한 투석 (0) | 2022.09.27 |
댓글