뷰노(VUNO)

뷰노는 코스닥에 상장중인 AI 의료기기 기업입니다. 18년 4월 4일 'X-ray 영상을 통한 골연령을 판독하는 소프트웨어(2등급 의료기기)' 등록을 시작으로 2022년 2월 24일 '흉부 CT영상을 자동으로 분석해 영상 내 특징적인 음영 패턴 영역을 분석, 시각화하는 소프트웨어(2등급 의료기기)'까지 총 11개에 달하는 의료기기를 등록했으며, 지금까지 그 활동을 이어나가고 있습니다.


현재 등록된 제품은 다음과 같습니다.
뷰노의 VUNO MED 시리즈
VUNO MED-BoneAge
수골 X-ray 영상을 분석해 가장 유사한 골연령 즉, 뼈의 나이를 제시하여 의료진의 골연력 판독을 지원하는 소프트웨어
판독시간을 단축시킬 뿐 아니라 정확도를 향상시키는데 도움을 줍니다.

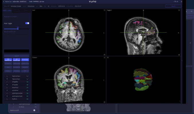
VUNO MED-DeepBrain
뇌 MRI 영상을 통해 위축 정도를 정량화 할 수 있으며 이를 통해 다양한 퇴행성 뇌질환 진단을 보조하는 소프트웨어.
뇌를 100개의 영역으로 분할하고 각 영역의 부피를 정상군과 대조하는 방법으로 위축도를 분석합니다.

VUNO MED-Chest X-ray
흉부 X-ray 영상을 통해 비정상 소견 여부와 위치 정보를 제공해 의료진의 판독을 보조하는 소프트웨어.
간질성 음영, 경화, 결절, 기흉, 흉수의 다섯가지 소견에 대해 정상, 비정상 여부를 분석해 정보를 제공합니다.

VUNO MED-Fundus AI
안저(안구의 안쪽면) 영상을 기반으로 망막 질환 진단에 필수적인 주요 소견을 제시해 진단을 보조하는 소프트웨어.
시신경 유두와 황반의 위치를 자동적으로 감지하여 8가지 안저 영역을 표시하고 판독 관심 영역에 도움을 주어, '드루젠, 출혈, 경성 삼출몰, 면화반, 혈관이상, 녹내장성 시신경유두이상, 망막신경섬유충결손, 망막전막, 맥락망막위축, 비낵내장성 시신경유두이상, 황반원공, 유수신경섬유'에 대한 비정상 정보를 제공합니다.

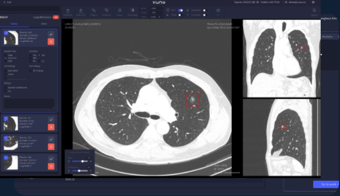
VUNO MED-LungCT AI
흉부 CT 영상을 통해 폐결절을 탐지하여 위치와 부피 정보를 제공하는 소프트웨어. 초해상도 알고리즘을 적용하여 폐결절을 탐지하며, 위치, 크기, 부피 등 폐결절의 정량화 정보를 제공합니다.

VUNO MED-Deep ASR
자동 음성인식 기술로 의료진의 음성을 실시간으로 인식해 문서를 작성하는 소프트웨어. 국영문과 숫자, 기호가 혼재된 의학용어들에 대한 처리가 가능합니다.

VUNO MED-DeepCARS
환자의 활력징후를 기반하여 24시간 이내 심정지가 발생할 위험도를 제공하는 소프트웨어. 혈압, 맥박, 호흡, 체온의 4가지 활력 징후를 바탕으로 심정지 발생 위험도를 0~100점의 점수로 제공합니다.

뷰노 이용하기
현재 위에서 언급한 VUNO MED 시리즈를 데모버전으로 이용할 수 있습니다.

뷰노의 홈페이지 중 Products에서 아무것이나 선택하여 클릭합니다.

이후 데모 요청하기를 클릭합니다.

다음의 인적사항과 사용하고자 하는 뷰노 메드 솔루션을 체크하면 이를 이용할 수 있습니다.
참고자료
vuno
'의료기기' 카테고리의 다른 글
| 내 발은 평발일까 요족일까-족압 분석기 (0) | 2022.04.29 |
|---|---|
| 연속 혈당 측정기. 종류와 원리 가격까지 (0) | 2022.04.28 |
| MRI와 CT의 차이점-비용과 선택시 주의사항 (0) | 2022.04.27 |
| 종근당에서 판매되는 스마트 링-CART 1 PLUS (0) | 2022.04.26 |
| 척추 측만증과 교정 (0) | 2022.04.25 |
댓글